Skip to content
Subscribe to our newsletter, get 5% discount on your next course
Free consultancy on the first work
  • Home
  • About
  • Portfolio
  • Laboratory
  • Education
  • Italiano

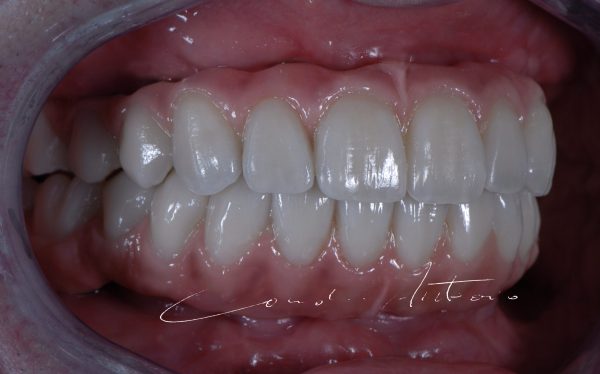
Details on occlusion of oral rehabilitation

Total upper and lower rehabilitation in zirconia on implants with titanium reinforcement bars

Full ArchesBy AADD12 February 2024Leave a comment

Case made in collaboration with the Urban Regeneration Institute of Budapest: dr. Istvan Urban and Dr. Andras Forster

Complete Digital Patient (CDP): the use of guided surgery for implant restoration in total upper and lower rehabilitation with titanium bars and different types of zirconia-ceramic

Digital PatientBy AADD8 February 2024Leave a comment

Case study created in collaboration with doc. Francesco Mintrone – Sassuolo (Modena)

Contacts

Antonio Corradini

info@aa-dd.com

+39 328 4514969

Am muhlbach, 9 - St Lorenzen, Bruneck 39030 (BZ)

P.IVA 01876210228

About
  • About
  • Portfolio
  • Laboratory
  • Education
  • Contact
Newsletter

Subscribers will receive first access to new educational and promo.

Facebook
Instagram

© Copyright 2026 aa-dd.com

All Rights Reserved

Go to Top
Menu
  • Home
  • About
  • Portfolio
  • Laboratory
  • Education