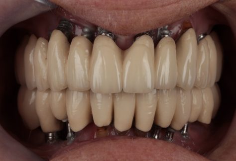
Upper and lower prosthetic rehabilitation with titanium bars and translucent zirconia-ceramic structures. The CDP as an aid in communication between the entire team and the patient, who is the focus of the work.

Case study carried out in collaboration with the Urban Regeneration Institute in Budapest (HU): Dr. Istvan Urban and Dr. Andras Forster

More works