Skip to content
Subscribe to our newsletter, get 5% discount on your next course
Free consultancy on the first work
Home
About
Portfolio
Laboratory
Education
Full Arches
Full upper and lower rehabilitation with titanium and zirconia bars
Case study created in collaboration with UNI Bern (Switzerland)
More works
Full Arches
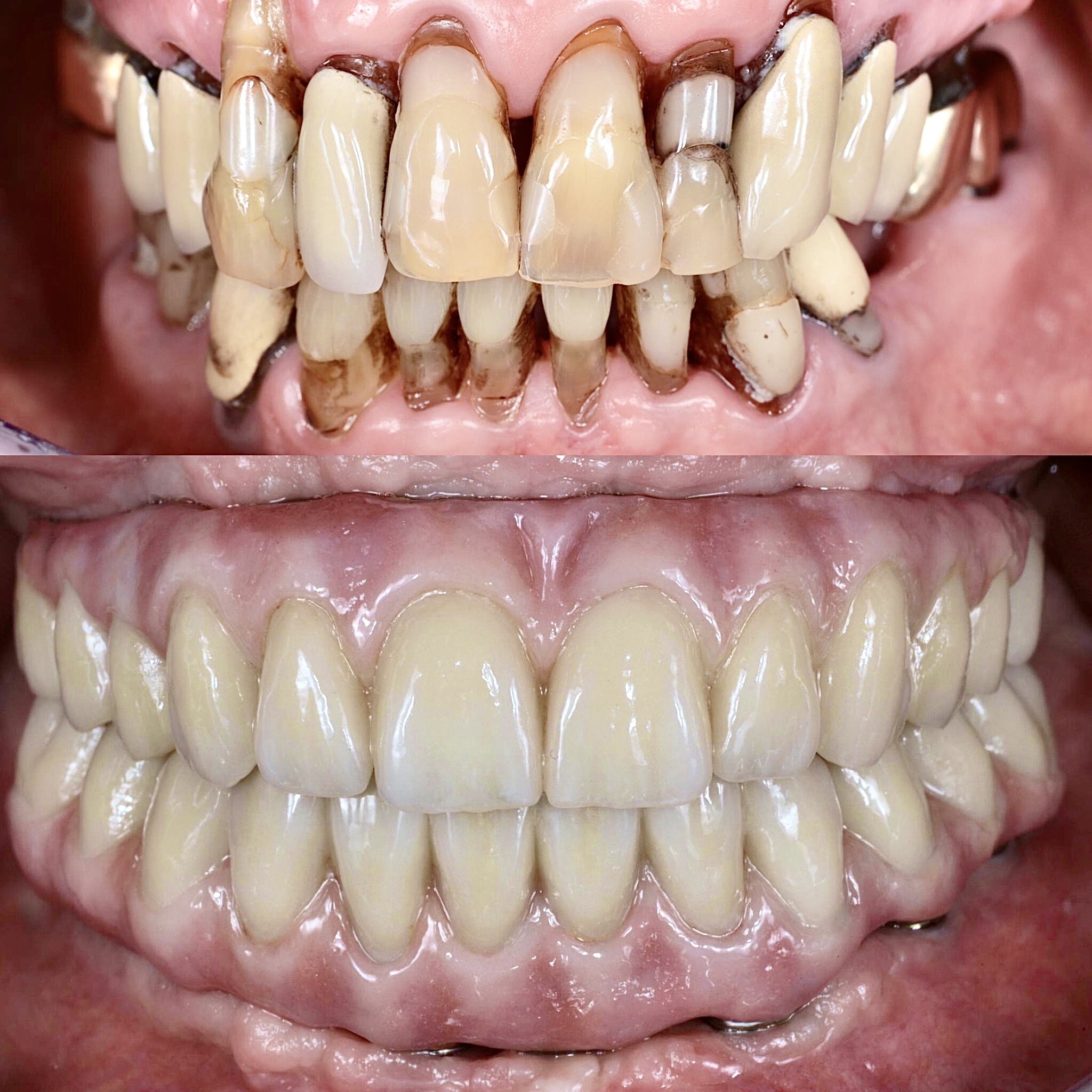
Complete upper rehabilitation directly screwed in zirconia – ceramic
Digital Patient
The use of CDP (Complete Digital Patient) as a basis for planning in a case of complete implant rehabilitation with a full arch in zirconia – ceramicised
Digital Patient
Total upper and lower rehabilitation using CDP technology as an analysis and planning tool
Full Arches
Total upper and lower rehabilitation in zirconia on implants with titanium reinforcement bars
Digital Patient
Complete Digital Patient (CDP): guided surgery for complete upper and lower rehabilitation with zirconia-ceramic screw-retained implants
Veeners
Aesthetic rehabilitation with orthodontic treatment and veneers
Digital Patient
Complete Digital Patient (CDP): the use of guided surgery for implant restoration in total upper and lower rehabilitation with titanium bars and different types of zirconia-ceramic
Full Arches
Upper and lower prosthetic rehabilitation with titanium bars and translucent zirconia-ceramic structures. The CDP as an aid in communication between the entire team and the patient, who is the focus of the work.
Go to Top
Menu
Home
About
Portfolio
Laboratory
Education
Clear
Search